牙裂現象普遍,不少人認為只是「咬崩牙」,不用急於理會。事實上,牙齒斷裂後不會像骨頭一樣自我修復,一旦裂牙,為牙齒帶來的傷害無法逆轉。牙齒裂縫可能越裂越深入,當細菌隨之侵蝕牙齒,容易引致感染發炎,最終可能無法保留牙齒。牙裂可以發生在任何一顆牙齒之上,甚至乳齒斷裂都需要處理,否則可能影響恒齒生長。
撰文:醫善同行醫學顧問、牙科醫生黃凌旻
牙裂大體上等同俗語「咬崩牙」,口腔每顆牙齒都有機會遭殃,但常見發生於後牙或者牙鋒比較鋒利的牙齒。牙裂與前牙面和後牙面受力的角度有關。通常前牙往往承受更多打斜角度的力量沖擊(可以將前牙想像為被斧頭斬擊的樹幹),以致裂紋大多出現於牙頸或牙腳位置,出現咬斷牙冠的情況。至於後牙主要是在咬合動作內垂直受力,所以多數裂紋都會由牙冠裂向牙腳。
牙裂並非單一成因所致,除了遭受外力撞擊,或者有磨牙的情況,日常喜吃硬物的飲食習慣,都會增加牙裂風險。筆者留意到不少人在急促的生活節奏下,因種種原因食無定時,同時備受壓力,往往急速進食。稍有不慎咬到碎骨或其他較硬的食物,就可能咬裂牙齒。例如曾有病人有口嚼冰塊的習慣,結果一次咬向堅硬的冰塊時,牙齒頓時崩裂。筆者建議大家進食時要減慢節奏,特別留意食物中有否碎骨等硬物;而且要留意硬物體積越小,例如果仁、花生等,為牙齒帶來的斷裂傷害會越大。


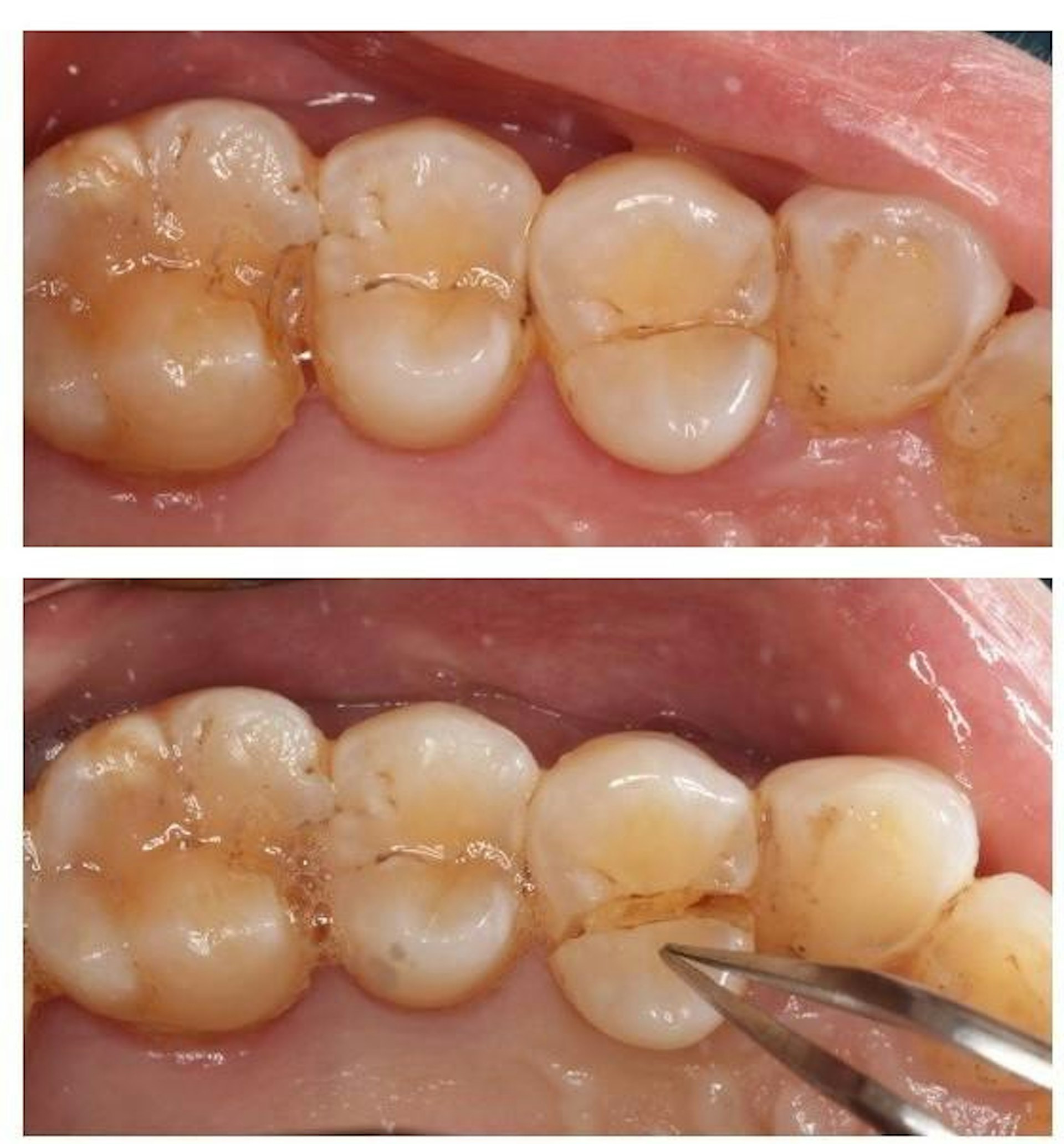
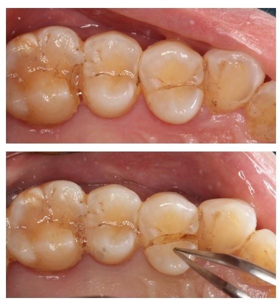
基於牙裂位置和深度,臨床上會有不同的病徵和處理方法。牙裂初期的病徵並不明顯,裂紋可以非常微細,連肉眼亦難察覺。因為牙齒有自身的紋路,當出現輕微裂紋時,而裂紋仍未延伸至牙房神經,病人只會感受到輕微的牙齒敏感,例如進食時咬到牙齒表面的某一點才會產生痛楚。加上牙齒的神經線互相連接,有時一顆牙引發的痛楚會反射去旁邊的牙齒,令病人很多時候都難以確定到底是那一顆牙齒是引起痛楚的源頭。
當牙醫懷疑病人牙齒有裂,會進行不同的詳細檢查。例如先以排除法檢查相關牙齒有否蛀牙或牙周病等其他問題,再慢慢收窄範圍,接着以咬合測試(Bite test)或透照法檢查 (Transillumination),嘗試找出裂牙所在位置。
牙醫會以照X光片和臨床病徵,判斷裂牙的術後情況(Prognosis),與病人討論不同的治療方案。舉例當牙齒裂紋並沒有裂愈深,裂向牙房神經線,而剩餘的牙齒結構完整,牙醫會嘗試以補牙物料或牙套修復及保護牙齒。但如果裂紋已經深入牙房神經線,就有需要先進行根管治療,然後才可進行修復。再者,如果裂紋已裂到牙齒深處,例如裂到牙肉以下或者牙房底部,情況便不容樂觀,牙醫會與病人討論牙齒的去留,可能有需要拔牙。
特別一提,坊間可能有家長會以為幼童會長出恆齒,即使乳齒出現崩裂亦不須理會。雖然乳齒咬裂的機會不高,但如果乳齒出現裂紋還是需要盡快處理。
因為乳齒的功能除了協助進食外,更負責「佔據」牙床空間,防止牙齒移位,讓之後的恒齒有足夠空間生長。如上所述,牙裂後細菌會沿着裂紋深入牙齒,並產生感染。如果不作理會將引致細菌蔓延,隨時影響乳齒牙腳底下的恒齒胚胎,令恆齒日後長出時產生異樣,例如發育不良,琺瑯質較薄等,較容易蛀牙。牙醫會評估相關崩裂的乳齒本應脫落的年齡,從而建議保留或拔去乳齒。










